
Dental Fillings In Kennewick
Dealing with a cavity not only impacts your ability to chew and speak, but can also hit your confidence and overall wellness. That’s where fillings come in handy. In just one visit, your tooth can be restored to its natural health, so you can start smiling again.
Dental Fillings
Dental Fillings
Why should I get a filling?
Cavities are a pain and can only worsen when left untreated. You deserve to have a smile that allows you to chew, speak, eat, and laugh with ease. Fortunately, cavities are simple enough to treat and even easier to prevent. A dental filling can treat cavities in just an hour-long appointment. And by visiting your dentist for regular cleanings and exams every 6 months, we can help you prevent future cavities altogether.

Dental Fillings
Dental Fillings
What Makes Us Different

Accessible Care For You
The cost of treatment shouldn’t keep you from getting the filling you need. We keep care affordable so you can invest in your healthiest smile yet.
In-Network With Popular Insurers
Works With Healthcare Lenders
Membership Plans Available
Benefits
Benefits
The Benefits of Dental Fillings
Provides Durable Protection
Everyone deserves to feel great about their smile. We make whitening your teeth comfortable and convenient with our custom whitening trays.
Fits In With Your Smile
Everyone deserves to feel great about their smile. We make whitening your teeth comfortable and convenient with our custom whitening trays.
Done In One Visit
Everyone deserves to feel great about their smile. We make whitening your teeth comfortable and convenient with our custom whitening trays.
The Process
The Process
The Dental Fillings Treatment Process
Local Anesthesia
First, your dentist will apply local anesthesia to numb the nerves near the treatment area. This ensures you won’t feel any pain or discomfort throughout the filling process.
Removal Of Decay
Next, a dental drill will be used to remove decayed enamel and damaged material from your tooth. Then, your dentist will clean and disinfect the area to prepare it for your filling.
Filling The Tooth
Your dentist will fill your tooth and restore its structure with the filling material. Once the tooth has been filled, the filling will be trimmed and adjusted to ensure it looks natural and feels comfortable.
Before & Afters
Before & Afters
A SMILE IS THE BEST THING YOU CAN WEAR
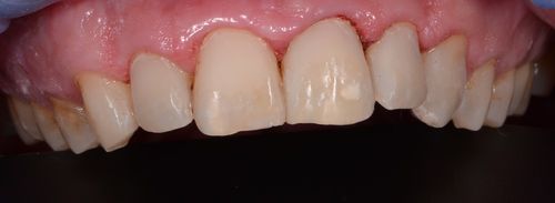
This patient had been struggling for year with the appearance of his smile. Due to cavities on his front teeth that kept getting worse, he felt uncomfortable smiling and showing his teeth. A conservative approach using simple dental filling material was determined to be the best way to restore his teeth and give him his confidence to smile once again. Some time was also spent teaching this patient how to prevent cavities like this from ever developing again.


FAQ's
FAQ's
Frequently Asked Questions
Check out these frequently asked questions, or call us to speak with our team.
Not all cavities cause pain or sensitivity. Usually, a toothache is a symptom of an infected tooth, which must be treated with a root canal instead of a filling. Seeing your dentist every 6 months for a cleaning and an exam will help you prevent cavities altogether. These regular visits will also help your doctor find the issues when they’re still small and relatively easy to treat.
When a cavity or an oral injury is left untreated, it destroys the outer layers of your tooth, exposing the vulnerable pulp that lives inside. Root canal therapy and either a dental filling or dental crown can seal your tooth and prevent further damage. This process is more complex, time-consuming, and expensive than having a cavity filled.
By removing the decayed enamel and sealing your tooth with dental resin or metal amalgam, fillings protect your tooth from further damage. This treatment halts the progression of the cavity, preventing it from getting larger and potentially causing a tooth infection. The filling helps protect the underlying tooth structure, and ensures that your tooth remains strong.
Nope! Getting a dental filling is virtually painless. Your dentist will apply local anesthesia to ensure your mouth is numbed during the entirety of the procedure. Getting a filling is a fast process, too. Most fillings are finished in about 30-60 minutes.
If you’re nervous at the dentist’s office, you can choose to be sedated during your procedure. Sedation can ensure that you feel no pain, anxiety, or discomfort throughout the process. Just contact your dentist and ask about your options for sedation during your treatment.
If your tooth is feeling sensitive to heat, cold, or sugary foods and beverages, you may have a cavity. Another sign includes feeling pain when chewing or biting down on your “sensitive side”.
A toothache may occur, but this depends on the severity of your cavity. Most minor cavities typically won’t cause you major pain or discomfort.
In some cases, you might see a cavity with your naked eye. If you look at your tooth and see small holes, pitting, or black/brown stains, it may be a cavity.
If you have a very deep or large cavity, a filling may not be the appropriate treatment to strengthen and restore your tooth. In these cases, your dentist may recommend an alternative treatment, like a dental inlay or onlay, or a dental crown. These treatments are more effective at protecting and restoring teeth that have been severely damaged by decay, and will provide better results.




